Recherche et innovation

Thermoablation percutanée : une innovation majeure dans le traitement des métastases du cancer colorectal

Le cancer colorectal métastatique constitue une situation fréquente en oncologie, avec des prises en charge de plus en plus personnalisées. Parmi les avancées récentes, la radiologie interventionnelle, et en particulier les techniques de thermoablation percutanée, occupent aujourd’hui une place essentielle dans le traitement des métastases, notamment hépatiques et pulmonaires.

Une approche mini-invasive au cœur de la stratégie thérapeutique

La thermoablation percutanée repose sur un principe simple : détruire la tumeur par la chaleur ou le froid, en introduisant une aiguille directement dans la lésion sous guidage radiologique (scanner ou échographie).

Cette approche présente plusieurs avantages :

  • traitement ciblé et précis,
  • préservation maximale des tissus sains,
  • faible invasivité,
  • récupération rapide (hospitalisation courte),
  • possibilité de traiter plusieurs lésions lors d’une même séance.

Elle s’intègre pleinement dans une prise en charge oncologique pluridisciplinaire, aux côtés de la chirurgie, de la chimiothérapie et de la radiothérapie. Chaque cas est examiné en réunion de concertation pluridisciplinaire (RCP), réunissant différents spécialistes.

Radiofréquence

Technique historique, la radiofréquence utilise un courant électrique pour générer une chaleur élevée (jusqu’à 100 °C), entraînant la destruction des cellules tumorales.

Elle est particulièrement efficace pour les métastases pulmonaires, grâce aux propriétés du tissu pulmonaire qui favorisent la diffusion thermique.

Micro-ondes

La thermoablation par micro-ondes repose sur l’agitation des molécules d’eau, générant une montée rapide en température.

Ses atouts :

volumes d’ablation plus importants,
efficacité accrue sur certaines localisations,
temps de procédure plus court.

Elle est fréquemment utilisée pour les métastases hépatiques, notamment lorsque les lésions sont profondes ou proches de structures sensibles.

Cryoablation

La cryoablation détruit la tumeur par le froid (jusqu’à −40 °C), en créant un véritable « glaçon » autour de la lésion.

Ses avantages :

meilleure tolérance à proximité des vaisseaux,
visualisation précise de la zone traitée,
douleur souvent moindre.

Elle est particulièrement intéressante pour certaines lésions pulmonaires complexes.

Quelles indications pour ces techniques ?

La thermoablation est principalement proposée chez des patients présentant :

  • un nombre limité de métastases (oligométastases),
  • une maladie contrôlée,
  • des lésions de petite taille (souvent < 3 cm),
  • une possibilité de destruction complète des tumeurs.

Elle peut être utilisée :

  • en alternative à la chirurgie,
  • en complément d’autres traitements,
  • pour retarder l’introduction d’une chimiothérapie.

Les résultats montrent des taux de contrôle local et de survie comparables à la chirurgie pour certaines indications, avec une morbidité réduite.

Focus : déroulement d'une intervention

Ces procédures sont réalisées en salle de radiologie interventionnelle, sous anesthésie générale ou sédation.

Le geste consiste à :

  • repérer précisément la lésion grâce à l’imagerie,
  • insérer une ou plusieurs aiguilles,
  • appliquer le traitement thermique adapté,
  • vérifier l’efficacité immédiate.

La durée varie de 30 minutes à 3 heures, avec une hospitalisation généralement courte (1 à 3 jours).

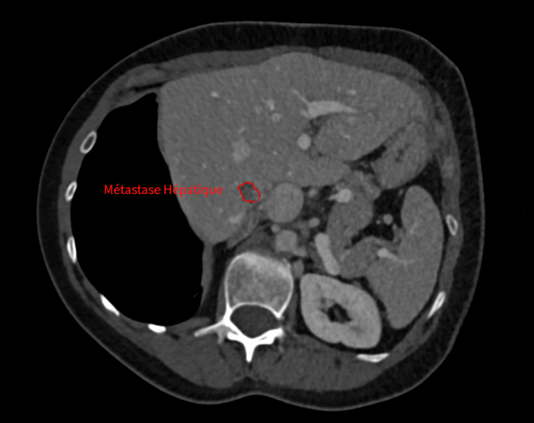
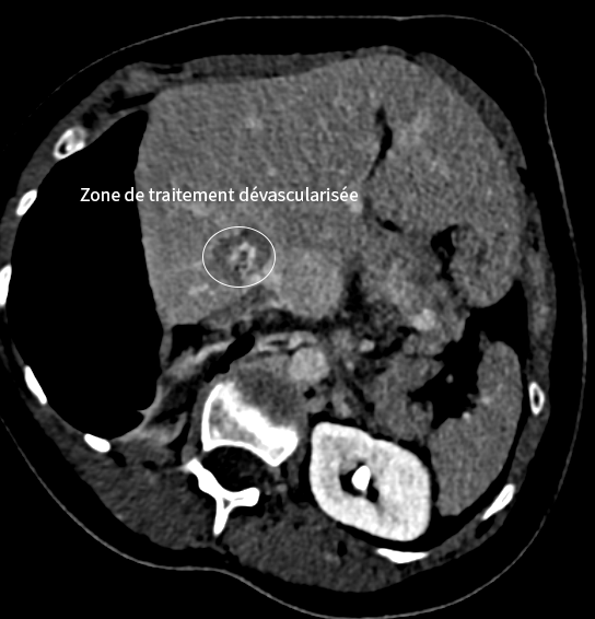
Cas clinique : une prise en charge personnalisée et combinée

L’exemple de Mme F., 50 ans, illustre parfaitement l’intérêt de ces techniques.

Suivie pour un cancer colorectal métastatique, elle présente une nouvelle récidive avec :

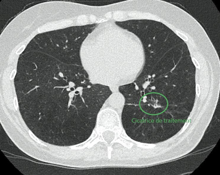
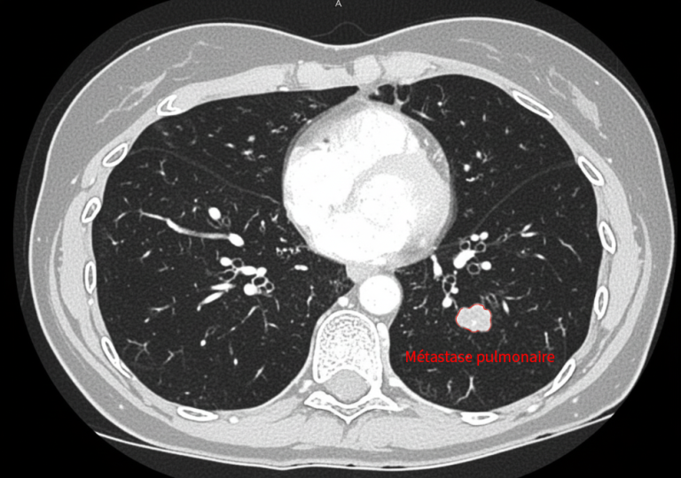
  • une métastase pulmonaire de 2,5 cm, située près de structures centrales,
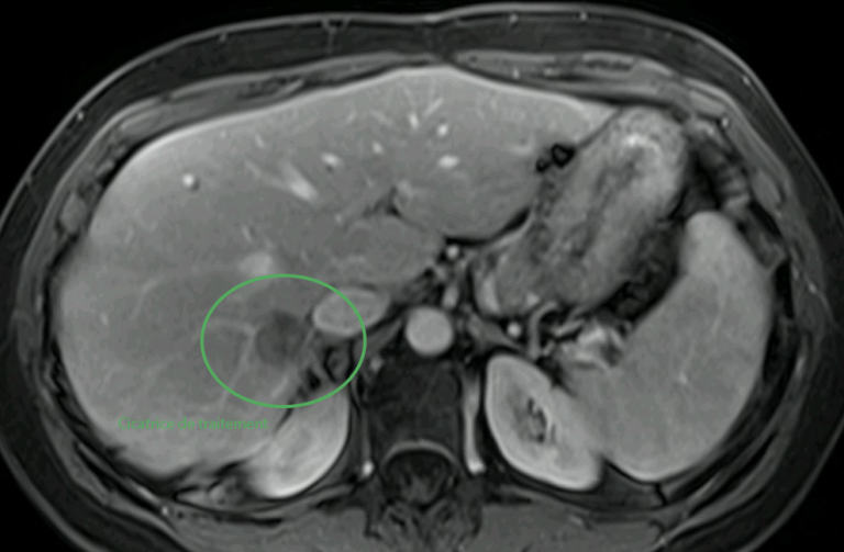
  • une métastase hépatique de 1 cm, profonde et difficilement accessible chirurgicalement.

Après discussion en réunion de concertation pluridisciplinaire, une stratégie mini-invasive est privilégiée :

Traitement pulmonaire par cryoablation

La lésion pulmonaire est traitée par cryothérapie, permettant une destruction efficace tout en évitant une chirurgie lourde (lobectomie).
Un pneumothorax, complication attendue, est pris en charge simplement avec un drain temporaire.

Traitement hépatique par micro-ondes

Dans un second temps, la métastase hépatique est traitée par thermoablation micro-ondes, avec protection des organes voisins grâce à une technique d’hydrodissection.

Les deux interventions sont réalisées dans un temps rapproché, avec des suites simples et une hospitalisation courte.

Résultat

Le contrôle à distance montre une réponse complète des lésions, sans nouvelle métastase, permettant la poursuite d’une simple surveillance.

En images

Images du traitement des organes (poumon et foie) avant, pendant et après le traitement.

Une expertise reconnue au CHU de Clermont-Ferrand

La thermoablation percutanée constitue aujourd’hui une arme thérapeutique majeure dans la prise en charge des métastases du cancer colorectal.

Au CHU de Clermont-Ferrand :

  • 165 procédures de destruction tumorale percutanée ont été réalisées en 2025 (toute origine et tout organe confondu),
  • avec un taux de succès de 95 % des lésions traitées.

Bibliographie

  • De Baère T, Aupérin A, Deschamps F, Chevallier P, Gaubert Y, Boige V, et al. Radiofrequency ablation is a valid treatment option for lung metastases: experience in 566 patients with 1037 metastases. Annals of Oncology. mai 2015;26(5):987‑91.
  • Delpla A, de Baere T, Varin E, Deschamps F, Roux C, Tselikas L. Role of Thermal Ablation in Colorectal Cancer Lung Metastases. Cancers. 22 févr 2021;13(4):908.
  • Fonck M, Perez JT, Catena V, Becouarn Y, Cany L, Brudieux E, et al. Pulmonary Thermal Ablation Enables Long Chemotherapy-Free Survival in Metastatic Colorectal Cancer Patients. Cardiovasc Intervent Radiol. nov 2018;41(11):1727‑34.
  • Van Cutsem E, Cervantes A, Adam R, Sobrero A, Van Krieken JH, Aderka D, et al. ESMO consensus guidelines for the management of patients with metastatic colorectal cancer. Annals of Oncology. août 2016;27(8):1386‑422.
  • Cervantes A, Adam R, Roselló S, Arnold D, Normanno N, Taïeb J, et al. Metastatic colorectal cancer: ESMO Clinical Practice Guideline for diagnosis, treatment and follow-up†. Annals of Oncology. oct 2022;S0923753422041928.
  • Venturini M, Cariati M, Marra P, Masala S, Pereira PL, Carrafiello G. CIRSE Standards of Practice on Thermal Ablation of Primary and Secondary Lung Tumours. Cardiovasc Intervent Radiol. mai 2020;43(5):667‑83.
  • Ruers T, Van Coevorden F, Punt CJ, Pierie JE, Borel-Rinkes I, Ledermann JA, Poston G, Bechstein W, Lentz MA, Mauer M, Folprecht G, Van Cutsem E, Ducreux M, Nordlinger B; European Organisation for Research and Treatment of Cancer (EORTC); Gastro-Intestinal Tract Cancer Group; Arbeitsgruppe Lebermetastasen und tumoren in der Chirurgischen Arbeitsgemeinschaft Onkologie (ALM-CAO); National Cancer Research Institute Colorectal Clinical Study Group (NCRI CCSG). Local Treatment of Unresectable Colorectal Liver Metastases: Results of a Randomized Phase II Trial. J Natl Cancer Inst. 2017 Sep 1;109(9):djx015. doi: 10.1093/jnci/djx015. PMID: 28376151; PMCID: PMC5408999.
  • Thermal ablation versus surgical resection of small-size colorectal liver metastases (COLLISION): an international, randomised, controlled, phase 3 non-inferiority trial. van der Lei, Susan et al. The Lancet Oncology, Volume 26, Issue 2, 187 - 199

Rédacteurs : Dr Nicolas de ABREU, Dr Achraf KANAN
Relecteurs : Pr Denis PEZET, Dr Marine JARY